TRATAMIENTO DIENTES DESGASTADOS

¿Ha observado que sus dientes son más pequeños, están rotos y están cada vez peor?
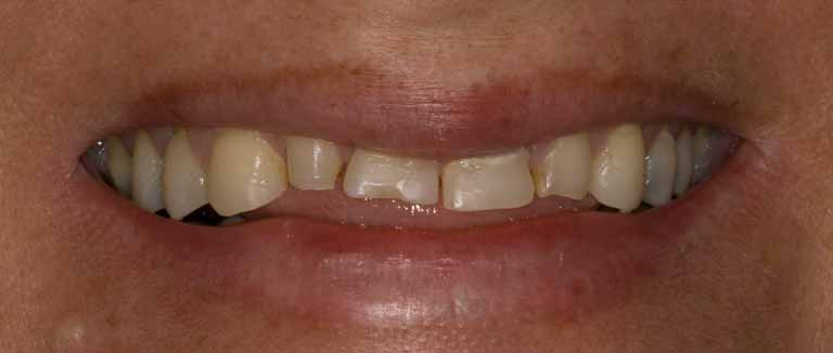
Los dientes no sólo se pierden por caries. Existen otros mecanismos que pueden dar lugar a su destrucción

  • Sustancias ácidas (de la dieta o el ácido gástrico, en casos de vómitos o reflujo) producen un fenómeno de corrosión del diente que se desgasta de forma acelerada
  • Para-funciones (bruxismos y apretamientos) son causas de desgaste de las caras de masticación
  • Mala técnica de cepillado produce abrasión en el cuello del diente, sobre todo en pacientes con enfermedad periodontal, en los que la raiz queda al descubierto

Todos estos mecanismos destruyen el diente. De hecho, hoy en día, su incidencia va en aumento, por lo que es fundamental diagnosticar, prevenir y tratar adecuadamente estos casos que, dejados a su libre evolución, dan lugar a la destrucción total del diente

Hasta ahora, la única solución, en casos avanzados, era la colocación de fundas en toda la boca. Esta es una posibilidad. Pero, también existen otras alternativas más conservadoras que se basan en mantener lo que queda de diente sin tocarlo y reponer lo que se ha perdido con fragmentos o incrustaciones de cerámica o de composite

After
Before
banner

© Rosapulgar 2024. Copyright. Aviso legal | Politica de cookies | Politica de privacidad