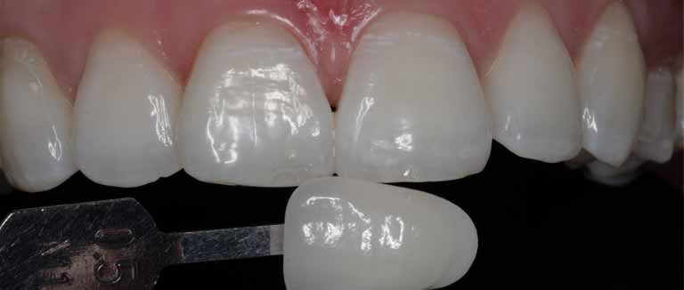
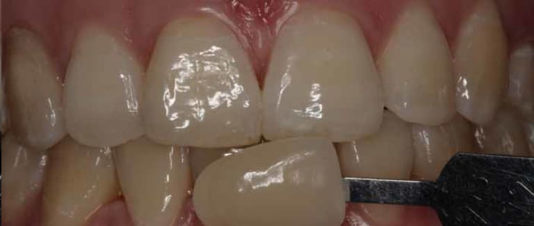
BLANQUEAMIENTO DENTAL

El color es uno de los componentes principales de una sonrisa bonita

Dientes blancos son percibidos como sinónimo de salud, belleza, juventud….

El color es uno de los componentes principales de una sonrisa bonita Dientes blancos son percibidos como sinónimo de salud, belleza, juventud…. Mediante las modernas técnicas de blanqueamiento dental profesional podemos aclarar el color de todos los dientes o devolver su color original a uno que se haya oscurecido.

Se basan en la utilización de peróxido de hidrógeno en diferentes formas químicas, sistemas de activación y concentraciones. La pauta de tratamiento debe ser siempre personalizada, tras analizar la alteración del color (discromía) y las peculiaridades clínicas del paciente. Sólo así se podrán conseguir los mejores resultados.

La micro-abrasión es un tratamiento que consiste en la eliminación químico-mecánica de manchas blancas superficiales. A veces se combina con blanqueamiento. Ambas son técnicas estéticas muy conservadoras que llevamos utilizando desde hace más de 25 años.

Antes
Después
banner

© Rosapulgar 2024. Copyright. Aviso legal | Politica de cookies | Politica de privacidad