
Durante treinta años hemos tratado a miles de pacientes. Solo exponemos algunos ejemplos, casos que muestran no sólo la técnica y el resultado sino la evolución a largo plazo del paciente. Casos que se realizaron hace 8, 10, 15, 20 años y aún están funcionando en perfecto estado y sin ningún problema. Los tratamientos deben devolver la belleza a una sonrisa, pero también deben perdurar en el tiempo en base a una adecuada selección de materiales y ejecución técnica. Eso es tan importante como el resultado inmediato
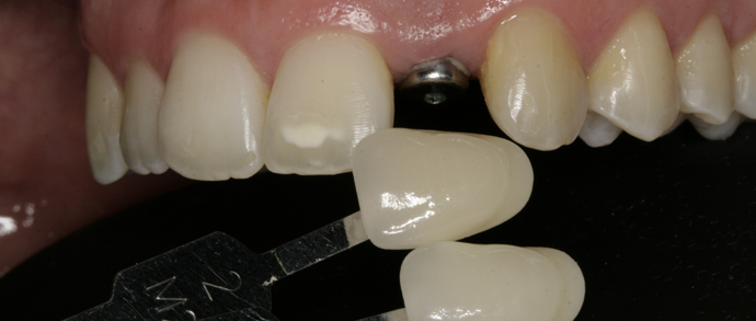
Prótesis sobre implante. Agenesia
04/16/2018
Prótesis sobre implante. AgenesiaLa ausencia de un diente por agenesia (ausencia) se puede solucionar con un implante osteointegrado. En este caso, el paciente sufría agenesia (ausencia)…
Leer más
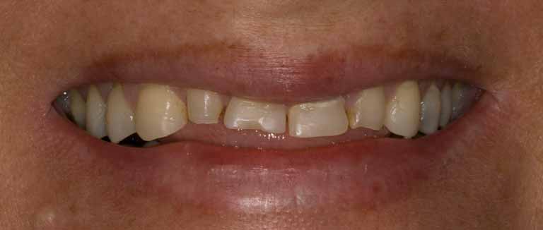
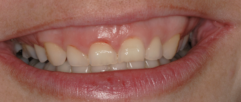
Prótesis sobre implantes. Dientes anteriores
04/16/2018
Prótesis sobre implantes. Dientes anterioresLa ausencia de uno o más dientes se puede solucionar con implantes osteointegrados. El resultado estético final en casos de implantes va…
Leer más
Rejuvenecimiento dental 2
04/16/2018
Rejuvenecimiento dental 2Una sonrisa envejecida no resulta estética. La paciente presentaba una sonrisa muy envejecida que no le gustaba (foto 1). Presentaba dientes pequeños y desgastados…
Leer más
Rejuvenecimiento dental
04/16/2018
Rejuvenecimiento dentalMuchas personas se quejan de que su sonrisa está “envejecida”. ¡Es increíble el efecto que produce sobre una sonrisa la reposición de los dientes! Este…
Leer más
Escultura dental. Carillas de composite
04/16/2018
Escultura dental. Carillas de compositeDientes mal posicionados. La paciente vino a la consulta en 2002 porque no le gustaba su sonrisa. Tratamiento ortodóncico previo sin gran…
Leer más
Dientes apiñados. Ortodoncia
04/16/2018
Dientes apiñados. OrtodonciaLos dientes malposicionados dan lugar a una sonrisa poco estética La situación de cada paciente es diferente por lo que la solución debe ser…
Leer más
Exceso de encía: sonrisa gingival 2
04/16/2018
Exceso de encía: sonrisa gingival 2Antiestética “sonrisa gingival” El paciente presentaba una gran sonrisa gingival, labio corto y dientes muy pequeños. Deseaba mejorarla pero sin cirugía….
Leer más
Exceso de encía: sonrisa gingival
04/16/2018
Exceso de encía: sonrisa gingivalLa belleza de una sonrisa precisa que exista un equilibrio entre encías y dientes al sonreír Cuando la encía “se ve” mucho,…
Leer más
Carillas cerámicas
04/16/2018
Carillas cerámicasUna de las soluciones más conservadoras: sin “tocar” el diente Las carillas de cerámica son una solucion ultraconservadora que permite reponer el diente perdido sin…
Leer más
Blanqueamiento dental. Tetraciclinas
04/16/2018
Blanqueamiento dental. TetraciclinasA veces el problema, es que los dientes son muy oscuros. En este caso, el paciente presentaba tinción por tetraciclinas (foto 1). Sin duda,…
Leer más
DSD. Carillas cerámicas
04/16/2018
DSD. Carillas cerámicas Esta paciente no estaba contenta con la separación que había entre sus dientes (diastemas) (foto1). Tras realizar el DSD, el diseño digital del…
Leer más
DSD. Carillas cerámicas
04/16/2018
DSD. Carillas cerámicasCon Digital Smile Desing, DSD, analizamos su caso y preparamos un “prototipo” de lo que serán las futuras carillas, coronas o la intervención que…
Leer más
Durante treinta años hemos tratado a miles de pacientes. Solo exponemos algunos ejemplos, casos que muestran no sólo la técnica y el resultado sino la evolución a largo plazo del paciente. Casos que se realizaron hace 8, 10, 15, 20 años y aún están funcionando en perfecto estado y sin ningún problema. Los tratamientos deben devolver la belleza a una sonrisa, pero también deben perdurar en el tiempo en base a una adecuada selección de materiales y ejecución técnica. Eso es tan importante como el resultado inmediato











